2026
In January, Kayla published a mini review (Editor’s Pick!) in the Journal of Virology, providing insights into research approaches to identify bona fide protist hosts for marine viruses and characterize virus-host interactions. Congratulations, Kayla!
Surgenor K, McCormick C. (2026) Diving into the hidden viral world of marine protists. Journal of Virology 0:e01262-25
We are very happy to welcome Kayla Surgenor to the lab!
Kayla completed an honours degree at the University of Alberta studying reovirus biology in Maya Shmulevitz’s lab. She is currently a Mitacs-Accelerate intern, and will start her graduate studies in the McCormick lab in September 2026.
Welcome to Esma Abibulaieva!
Esma has completed three undergraduate CO-OP work terms already, and joins our lab as an Experiential Learning student, working closely with Eric on a KSHV latency project. Esma will continue her research in the lab this summer, funded by the Faculty of Medicine Summer Student Research Program. She will initiate her honours studies in September, as she begins the final year of her studies.
2025
Brett recognized in the hellobio 2025 Lab Heroes Awards. A well deserved recognition! Click here to read the interview.
Alexa wins Best Poster Presentation at the Striving for Pandemic Preparedness the Alberta Research Consortium (SPP-ARC) Ignites Innovation Annual Retreat in Banff, Alberta (Nov 2025).
We were tremendously pleased to contribute to this exciting Nature Communications paper from Dr. John Archibald’s lab, which provides the first characterization of virus-host interactions for the newly discovered mirusvirus of the model marine protist Aurantiochytrium limacinum (November 11, 2025). Eric and Brett provided substantial support with assay development to characterize viral gene expression and release of capsid-protected genomes from protist hosts.
Chung D, Brask N, Matar S, Gallot-Lavallee L, Pringle ES, Duguay BA, Blais C, Slamovits CH, Rest JS, Collier JL, McCormick C, Archibald JM. (2025) Persistent mirusvirus infection in the marine protist Aurantiochytrium. Nature Communications 16 9922 .
Taylor takes advantage of a suitably fabulous backdrop on Fall Convocation Day (Oct. 29, 2025)
Alexa rocked her PhD thesis defence in snakeskin boots!
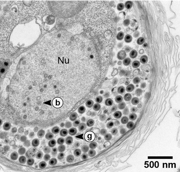
Alexa’s image of nuclear infolds in KSHV infected cells is selected for the cover of the October 2025 issue of Journal of Virology.
Her paper describes the dynamic changes of the nucleoplasmic reticulum in KSHV lytic replication, with implications for capsid envelopment and nuclear egress, in Journal of Virology. Congratulations, Alexa!
Wilson AW, Ridgway ND, McCormick C. (2025) Primary envelopment of Kaposi’s sarcoma-associated herpesvirus at the nucleoplasmic reticulum. Primary envelopment of Kaposi’s sarcoma-associated herpesvirus at the nucleoplasmic reticulum. Journal of Virology 99:e00588-25.
In August, Brett published his strategy for coronavirus genome assembly in Bio-protocol. Congratulations, Brett!
Duguay BA, McCormick C. (2025) Assembly and mutagenesis of human coronavirus OBio-protocolC43 genomes in yeast via transformation-associated recombination Bio-protocol, 15(16): e5422.
We were very pleased to contribute to this collaborative pan-Canadian study led by Hannah Wallace and Jordan Wight, and PI Jason Kindrachuk, published in Viral Immunology in summer 2025.
Wallace HL, Wight J, Dowding B, Rzeszutek GJ, Jafri MS, Baz M, Dowding B, Flamand L, Hobman T, Jean F, Joy JB, Lang AS, MacParland S, McCormick C, Noyce R, Russell RS, Sagan S, Snyman J, Bogoch I, Rasmussen AL, Rimoin AW, Kindrachuk J (2025) No Evidence of Anti-influenza NP Antibodies in Retail Milk from Across Canada (April – July 2024) Viral Immunology 38(6):228-233.
Immediate aftermath of Taylor’s PhD thesis defence in July 2025 (normal pose)…..
FLEX! (L-R, Roy Duncan, Craig McCormick, Taylor Caddell, Joyce Wilson, Denys Khaperskyy, Greg Fairn)
Craig meets up with outstanding former students Jacob Sicheri and Mackenzie Thornbury at ASV 2025 - 44th Annual Meeting of the American Society for Virology in Montreal (July 2025)
Alexa wins a Platform Presentation Award at Graduate Research Day (June 2025)
Alexa was selected to present her research at a CSV Trainee Virtual Event (April 2025).
Megan wins Best Poster Presentation at the Infectious Diseases Research Day / Canadian Center for Vaccinology Annual Symposium at the Lord Nelson Hotel in Halifax, NS (April 2025)
Alexa presented her research in the Regional Finals of the 3-Minute Thesis competition (April 2025)
In February, Brett published a paper in Journal of Virology describing his new platform for genome assembly of the human common cold coronavirus OC43, which enables rapid recoding to create reporter viruses (like mClover reporter virus above) that can be used to accelerate antiviral drug discovery as well as academic studies of coronavirus biology. Congratulations, Brett!
Duguay BA, Tooley TH, Pringle ES, Rohde JR, McCormick C. (2025) A yeast-based reverse genetics system to generate HCoV-OC43 reporter viruses encoding an eighth subgenomic RNA. Journal of Virology 99:e01671-24
2024
November 2024
Our collaborative research project led by Dr. Denys Khaperskyy, and involving Drs. McCormick and Pringle, received a CIHR Catalyst Grant for Avian Influenza One Health Research. The project is focused on functional characterization of cross-reactive and specific antibodies against highly pathogenic avian influenza at human/wildlife interface, and will involve co-applicants Drs. Lisa Barrett at Dalhousie University, Lisanework Ayalew at the University of Prince Edward Island, and Andrew Lang at the Memorial University of Newfoundland.
Falling Walls winners (L-R): Alexa Wilson, Constadina Rogers, and Melina Marketjohn (far right).
September 2024
Alexa finishes in 2nd place in the Falling Walls Lab Atlantic Canada science communication event at Dalhousie University, in which participants have 3 minutes to pitch their idea to topple an obstacle that is holding back global progress. All 3 finalists were from the Dalhousie Faculty of Medicine, and MSc student Dina Rogers went on to compete in the Falling Walls Science Summit in November, where she won in the Emerging Talents category.
September 2024
Adriana and Taylor joined our Institute for Comparative Genomics (ICG) colleagues for a volunteer science outreach event “MicroScape Microorganism Day” at the Discovery Centre in Halifax, NS. This event was supported by an PromoScience Grant from NSERC, and was held on the occasion of International Microorganism Day.
July 2024
Our team, including Co-Applicants Sultan Darvesh, Ian Pottie, Eric Pringle and Brett Duguay, was awarded a CIHR Project Grant (Pandemic Preparedness and Health Emergencies Research Priority Announcement) for our research into GTPase enzymes as antiviral drug targets.
May 2024
Taylor and Adriana joined our Institute for Comparative Genomics (ICG) colleagues for a volunteer science outreach event “MicroScape Biodiversity Day” at the Discovery Centre in Halifax, NS. This event was supported by an PromoScience Grant from NSERC.
April 2024
Our interdisciplinary team, led by Canadian Center for Vaccinology Director Scott Halperin, was awarded a 3-year $4.6M CIHR Clinical Trials Fund grant to establish a Controlled Human Infection Model (CHIM) for seasonal H3N2 Influenza A viruses. This research will take place at the Canadian Center for Vaccinology and the Research Institute of the McGill University Health Centre (RI-MUHC). Learn more about Challenge Studies here.
January 2024
Craig is featured on ‘What do Scientists Do?’: SuperNOVA’s family-friendly STEM podcast for curious kids and inquisitive adults.
”In this episode, we dive into the wild world of viruses with Dr. Craig McCormick, a professor of virology in the Department of Microbiology and Immunology. Dr. McCormick (petri) dishes on virology: unlocking the mysteries of coronaviruses and influenza viruses, what makes these microscopic troublemakers tick, and how scientists like Dr. McCormick can crack their genetic codes”
2021
December 2021
Craig and Roy Duncan and the team supporting the development of the Entos Pharmaceuticals Covigenix COVID-19 vaccine are featured in the Dalhousie Medical Alumni Magazine, VoxMeDAL. The article, written by Melanie Starr, found on page 28, is titled “The scientists’ eye view: Dal Virologists share what’s on the horizon for COVID vaccines”. The team includes Dr. Eric Pringle, Dr. Anna Greenshields, Adam Nelson, Nichole McMullen and Mark Charman.
2020
August 2020
Taylor and Pat receive I3V Graduate Studentships.
With support of the Nova Scotia Business Inc. Productivity and Innovation Voucher Program, we are initiating a new phase of collaborative research with Photodynamic Inc.
June 2020
Taylor and Pat receive Mitacs Research Training Awards to support their COVID-19 research
Eric receives a Mitacs Elevate Postdoctoral Fellowship sponsored by Entos Pharmaceuticals Inc.
May 2020
Taylor receives a Scotia Scholar Award from Research Nova Scotia to support her graduate research, to begin in September 2020
We are awarded a Nova Scotia COVID-19 Health Research Coalition grant application to study temperature effects on coronavirus replication. This grant was conceived and written by Eric Pringle.
April 2020
Craig and his 12 year old daughter Sophie share a conversation about coronaviruses, as part of a series of interviews arranged by the Dalhousie Medical Research Foundation.
2018
November 2018
Craig and Sue Duncan are interviewed about the Molly Appeal by the Chronicle Herald
October 2018
Dr. Francesca Di Cara and Craig are interviewed about the Molly Appeal for DalNews.
September 2018
Craig and John Archibald are interviewed on Global Television (video) and CTV News (video) about the Molly Appeal.
August 2018
Think of the PLOSibilities blog collaborators Emma Finlayson-Trick and Craig McCormick profiled in The Star Halifax.
March 2018
Former PhD student Drew Leidal interviewed by Novus Biologicals: "From a Postdoc's Perspective: Andrew Leidal"
January 2018
Media darling Denys Khaperskyy on CTV News again (video).
2017
December 2017
Denys discusses influenza vaccine effectiveness with the legendary Bruce Frisko on CTV News (video).
October 2017
A $14.7 M CFI Innovation Fund Award is announced, to support a proposal for 'Infrastructure to Support the Discovery and Development of Innovative Viroceuticals'. This infrastructure grant supports the work of virologists, immunologists and vaccine researchers from the University of Ottawa (lead), Dalhousie University, and the University of Alberta. Drs. Roy Duncan and Craig McCormick led the team of Dalhousie researchers, who will benefit from new super-resolution microscopy and flow cytometry infrastructure.
"CFI INVESTS IN DISCOVERY AND INNOVATION AT DAL" - DalNews, October 17, 2017
October 2017
Viroceutical researchers featured in the Dalhousie Medical Research Foundation Magazine, The Philanthropist
2016
April 2016
Denys publishes a paper in PLoS Pathogens describing the mechanism of selective host mRNA destruction by influenza virus PA-X endonuclease. Data suggests that PA-X works in nucleus at some early step of mRNA biogenesis. A very productive (and speedy!) collaboration with our colleagues in Marta Gaglia’s lab at Tufts U.
media links:
“Dal’s Flu Fighters” - DalNews, April 1, 2016
“Dalhousie Medical School making big breaks in influenza research” - Global News, April 1, 2016
“Dalhousie University researchers make flu discoveries” - CBC News, April 6, 2016
“Influenza Discoveries at Dal” - Dal Alumni News, April 6, 2016
2014
December 2014
Brittany Graham is named Dalhousie University’s 89th Rhodes Scholar
http://www.dal.ca/news/2014/12/02/converging-rhodes--dal-student-s-inquisitive-interests-lead-to-o.html
July 2014
Denys publishes a paper in PLoS Pathogens on three influenza virus proteins that prevent translation arrest and stress granule formation during infection, thereby supporting viral gene expression. This study identifies a window of opportunity early during infection during which stress granule-inducing drugs effectively block viral replication.
media links:
“Finding new weapons to fight flu” - Dalhousie Medical School Media Centre
CTV News Interview with Kayla Hounsell, July 14, 2014
“A Natural Solution to the Flu?” - The Chronicle Herald, July 17, 2014
CBC-Radio Halifax - Information Morning, July 18, 2014
CBC-Radio Sydney - Information Morning, July 21, 2014
